10年前体检时
左肾查出一点小问题没重视
没想到,10年后
左肾肿瘤竟长到6厘米大
面对肾癌这一“沉默杀手”
难道只能全肾切除吗?
患者慕名来到十堰市人民医院
肾保住了!
医生还有一个重要提醒

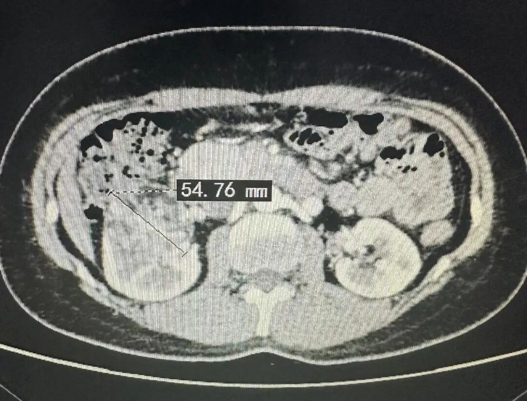
左肾肿瘤长到6厘米大
医生25分钟精准“拆弹”保肾
60岁的王女士(化姓)10年前体检时,发现左肾错构瘤,因没有明显症状,所以没有重视。今年5月份再次检查时,肿瘤已经长到6厘米大,且位于肾门处,毗邻动脉及静脉分支。她辗转多家医院就诊,都被建议进行左肾根治性切除手术。

▲王女士体内长了6厘米大的左肾错构瘤
王女士不甘心就这样切掉一个肾,经过多方打听,来到十堰市人民医院泌尿外科1病区找到李云飞主任。经过详细检查,李云飞表示:“可以采用腹腔镜下左肾错构瘤切除术,手术难度大,但有保肾的可能。”
腹腔镜微创手术具有伤口小、术中出血少、术后痛苦轻、恢复快等特点,不仅需要手术医生有过硬的手术功底,更需要娴熟的腹腔镜手术技巧和紧密配合的手术团队。
此次手术,可谓是与时间赛跑。需要先将患者左肾血管阻断,再精准切除肿瘤,然后严密缝合肾脏创面,最后将血管开放恢复供血。需要保证在阻断肾动脉的30分钟内完成全部操作,这对医生的技术有很高要求。

手术当天,在李云飞的努力下,全程高效、流畅、精准,各项操作一气呵成,肾动脉阻断时间被控制在25分钟。术后第三天,王女士便拔除引流管,术后一周顺利出院。

肾癌是“沉默杀手”
医生的这个提醒一定要看
53岁的张女士(化姓)今年年初因左边腰疼来医院检查,结果发现左肾内有个5厘米大的肿瘤。
为保住左肾,张女士和家属多方打听,最后慕名来到十堰市人民医院泌尿外科1病区,找到李云飞主任寻求帮助。

▲张女士左肾的肿瘤
李云飞接诊后,发现张女士的肿瘤属于内生性,需尽早手术根治肿瘤,还可以保住左侧肾脏。
由于张女士左肾肿瘤体积大且位置深,与肾脏血管关系紧密,所以游离血管空间小、手术难度高。李云飞团队凭借丰富经验、精细操作、默契配合,将热缺血时间控制在30分钟,顺利将患者左肾肿瘤完整切除。

一周后,张女士恢复良好并出院,她对医护人员十分感激。“感谢你们,给了我生活的希望……”

李云飞提醒
与其它肿瘤相比,肾癌是一个“沉默的杀手”,在早期基本没有明显症状。一旦出现血尿、腰痛、腹部肿块等症状,则意味着进入中晚期或是转移性肾癌。因此,肾癌的诊疗需要做到早发现、早诊断、早治疗。
每年做一次B超检查是发现早期肾癌最简单、最有效也是最经济的方法,一般1厘米以上的肾肿瘤通过B超是可以发现的。如果肿块比较小,或是有其它指征,还可进行肾脏CT扫描来进一步确诊。

李云飞
十堰市人民医院
泌尿系统疾病中心主任、
泌尿外科1病区主任
医学博士、主任医师,副教授、硕士研究生导师,十堰市优秀中青年拔尖人才,湖北省医师协会泌尿外科分会常务委员,湖北省临床肿瘤泌尿外科分会常务委员,湖北省腔镜技术联盟委员,十堰市泌尿外科质控中心主任。
擅长泌尿系肿瘤、前列腺疾病及结石诊疗,尤其擅长腹腔镜下各种复杂及疑难手术,如巨大肾上腺肿瘤/嗜铬细胞瘤切除术、复杂性肾肿瘤保肾手术、婴幼儿先天性巨输尿管整形术、根治性膀胱切除+完全腹腔镜下尿流改道术、根治性前列腺切除、前列腺增生保尿道剜除术等。手术疗效显著,均达到省内领先、国内先进水平。
